از ذات الریه بترسید|علائم و هشدار
علامت ذات الریه چیست و چه زمانی باید به پزشک مراجعه کرد؟
علائم ذات الریه میتوانند آنقدر خفیف باشند که تقریباً متوجه آنها نشوید، یا آنقدر شدید باشند که نیاز شود در بیمارستان بستری شوید. اینکه بدنتان چگونه به ذات الریه واکنش نشان میدهد بستگی به نوع عامل عفونت، سن شما و وضعیت عمومی سلامتیتان دارد.
در قسمت اول این مطلب در مورد "پنومونی و دلایل ایجاد آن" مواردی را ذکر کردیم و از افراد در معرض خطر و عواملی که احتمال ابتلا به این بیماری را بالا میبرد نیز مطالبی را عنوان کردیم. حالا ادامهی مطلب...
علائم ذات الریه چیست؟

علائم و نشانههای ذات الریه شامل موارد زیر میشوند:
. سرفه که میتواند موکوسهای سبزرنگ، زردرنگ و حتی خونآلود تولید کند
. تب، تعریق و لرز
. تنگی نفس
. تنفس تند و سطحی
. درد قفسه سینه که به صورت تیر کشیدن یا ضربه احساس شده و وقتی نفس عمیق میکشید یا سرفه میکنید بدتر میشود
. از دست دادن اشتها، کمبود انرژی و خستگی
. حالت تهوع و استفراغ، خصوصاً در بچههای کوچکتر
. احساس منگی، خصوصاً در افراد سنین بالا
علائم ذات الریه باکتریایی

ذاتالریهی باکتریایی که شایعترین نوع ذات الریه است، معمولاً نسبت به دیگر انواع ذات الریه جدیتر بوده و کنترل علائم آن نیاز به مراقبتهای پزشکی دارد. علائم ذات الریهی باکتریایی میتواند تدریجاً یا ناگهانی بروز کند. تب در این بیماری میتواند تا 40.5 درجه سانتیگراد بالا برود و همراه با عرق بسیار زیاد و تنفس و نبض بسیار تند باشد. لبها و بستر ناخن معمولاً به دلیل افت اکسیژن خون، کبود رنگ میشوند. وضعیت روانی بیمار نیز ممکن است تحت تأثیر قرار گرفته و دچار گیجی و دلریوم (توهم) شود.
علائم ذات الریه ویروسی

علائم ذات الریه ویروسی معمولاً طی چند روز ظاهر میشوند. علائم اولیه در این بیماری مشابه علائم آنفلوانزا هستند: تب، سرفه خشک، سردرد، درد عضلانی و ضعف. در عرض یکی دو روز، معمولاً علائم بدتر میشوند: سرفهها بیشتر شده و تنگی نفس و درد عضلانی تشدید میشود. ممکن است تب بالا برود و لبها کبود شوند.
علائم میتوانند در افراد متفاوت باشند. نوزادان و کودکان خردسال ممکن است هیچ علامتی از عفونت نشان ندهند. یا ممکن است استفراغ کنند، تب و سرفه داشته باشند و یا بیقرار و ناخوش و خسته و بیانرژی به نظر برسند. بزرگسالان و افرادی که بیماری دارند یا سیستم ایمنیشان ضعیف است ممکن است دچار علائم کمتر و خفیفتر بشوند. حتی ممکن است دمای بدنشان کمتر از دمای نرمال باشد. افراد سالمندی که ذات الریه دارند، گاهی دچار تغییرات ناگهانی در وضعیت هشیاری ذهنی خواهند شد. در مورد افرادی که در حال حاضر بیماری ریوی دارند، این علائم ممکن است تشدید شود.
چه زمانی باید به پزشک مراجعه کرد؟

اگر فکر میکنید خودتان یا کودکتان علائم ذات الریه را دارید، منتظر نمانید تا بیماریتان بدتر شود و سپس به دنبال درمان بروید. با پزشک تماس بگیرید و اگر مشکلی در تنفس دارید، لبها و انگشتانتان کبود شدهاند، درد در قفسه سینه دارید، تبتان بالاست، سرفه خلط دار میکنید و این علائم بدتر میشوند، هر چه زودتر به پزشک مراجعه کنید.
خصوصاً اگر در گروهی قرار میگیرید که ریسک بالایی دارید، حتماً باید تحت مراقبتهای پزشکی قرار بگیرید. افراد بالای 65 سال، بچههای دو ساله و کوچکتر، کسانی که بیماری زمینهای یا ضعف سیستم ایمنی دارند در گروه ریسکپذیر قرار میگیرند. برای برخی از افراد آسیبپذیر، ذات الریه میتواند به سرعت تبدیل به عارضهای کُشنده شود.
ذات الریه چگونه تشخیص داده میشود؟
گاهی ذات الریه میتواند به سختی تشخیص داده شود زیرا علائم آن بسیار متغیرند و اغلب شبیه علائمی هستند که در سرماخوردگی یا آنفلوانزا دیده میشوند. برای تشخیص ذات الریه و شناسایی عامل ایجاد این بیماری، پزشک از شما سؤالهایی در مورد سابقه پزشکیتان خواهد پرسید، معاینه بالینی انجام خواهد داد و آزمایشاتی برایتان تجویز خواهد کرد.
سابقه پزشکی
پزشک در مورد علائم و نشانههایی که دارید و اینکه چه زمان و چگونه شروع شدهاند سؤالهایی میپرسد. برای کمک به تشخیص اینکه آیا عفونت شما منشأ ویروسی دارد یا باکتریایی و یا قارچی، احتمالاً سؤالهای زیر از شما پرسیده خواهد شد:
. اخیراً به جایی سفر کردهاید
. شغل شما
. تماس با حیوانات
. قرار گرفتن در معرض تماس با افراد بیمار در خانه، محل کار و یا هر جای دیگری
. اینکه آیا اخیراً دچار بیماری دیگری شدهاید یا نه
معاینهی فیزیکی
پزشک با گوشی پزشکی به صدای ریههایتان گوش میدهد. اگر ذات الریه داشته باشید، ریههایتان وقتی که نفس میگیرید صدای خسخس، غرش مانند و یا حباب زدن خواهد داشت.
تستهای تشخیصی
اگر پزشک مشکوک باشد که ذات الریه دارید، احتمالاً توصیه میکند تستهایی انجام دهید تا تشخیص قطعی شود و در مورد عفونتتان اطلاعات دقیقتری به دست بیاید. این تستها شامل موارد زیر میشوند:
. آزمایش خون برای تائید عفونت و شناسایی عامل ایجاد عفونت
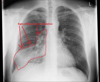
. عکس با اشعه ایکس برای دیدن محل و میزان گسترش التهاب در ریهها
. پالس اکسی متر (اکسیژن سنج) برای اندازهگیری سطح اکسیژن در خون. ذات الریه میتواند مانع این شود که ریهها، اکسیژن کافی وارد جریان خون کنند
. تست اسپیوتوم که روی نمونهای از موکوس ِ گرفته شده بعد از یک سرفهی عمیق انجام میشود تا منبع عفونت شناسایی شود
اگر بیماری تلقی میشوید که به دلیل سنتان یا وضعیت کلی سلامتیتان در گروه آسیبپذیر هستید، یا اگر در بیمارستان بستری هستید، پزشکان تستهای دیگری نیز روی شما انجام خواهند داد:
. سیتیاسکن از سینه برای بهتر دیدن ریهها و تشخیص آبسههای احتمالی یا دیگر عوارض
. آزمایش گاز خون برای اندازهگیری میزان اکسیژن در یک نمونه خون که از یک شریان گرفته شده. این تست، دقیقتر از پالس اکسی متر است.
. پلورال افیوژن با ریه آب آورده که در آن مقدار کمی از مایع اطراف بافت ریه گرفته میشود تا آنالیز شده و باکتری عامل عفونت شناسایی شود.
. برونشوسکوپی که در آن راههای هوایی ریه مشاهده میشوند. اگر در بیمارستان بستری باشید و درمان مؤثر واقع نشود، پزشکان ممکن است بخواهند بررسی کنند آیا مشکل دیگری ریههایتان را درگیر کرده یا نه، مثلاً یک انسداد. همچنین ممکن است نمونه مایعات گرفته شده یا بافت ریه بیوپسی شود./منبع: تبیان
دیدگاه تان را بنویسید